Меню
Имплантация «готовый зуб»
2305 BYN
Навели порядок во рту пациента
Комплексные реставрации – наш "конёк", когда требуется восстановить все зубы и нужно нужно комбинировать различные методики и техники: каждый член команды «Вашли» участвует в создании улыбки.
Делимся с Вами примером работы по комплексному восстановлению зубов.
История длиною в 4 месяца началась с визита пациента на консультацию к ортопеду. Пациент обратился к нам по рекомендации совего знакомого и жаловался на отсутствие зубов и плохую эстетику улыбки. Задача стояла перед нами такая: в довольно сжатые сроки решить вопросы с больными и отсутствующими зубами, а также воплотить в реальность мечту о красивой улыбке. Консультация у ортопеда заняла чуть больше времени, так как были подключены специалисты в области хирургической и терапевтической стоматологии. Результатом консилиума стал план работы с точным расчетом цены, которую мы согласовали на месте и назначили даты визитов к профильным специалистам.
Первым делом за работу взялся стоматолог-терапев, который решил вопросы с кариесом и произвел санацию полости рта: подготовил "почву" для хирурга и ортопеда. Далее были установлены имплантаты, произведена обточка зубов и снят слепок. Слепок был передан в зуботехническую лабораторию, где были произведены коронки из стеклокерамики E-max.
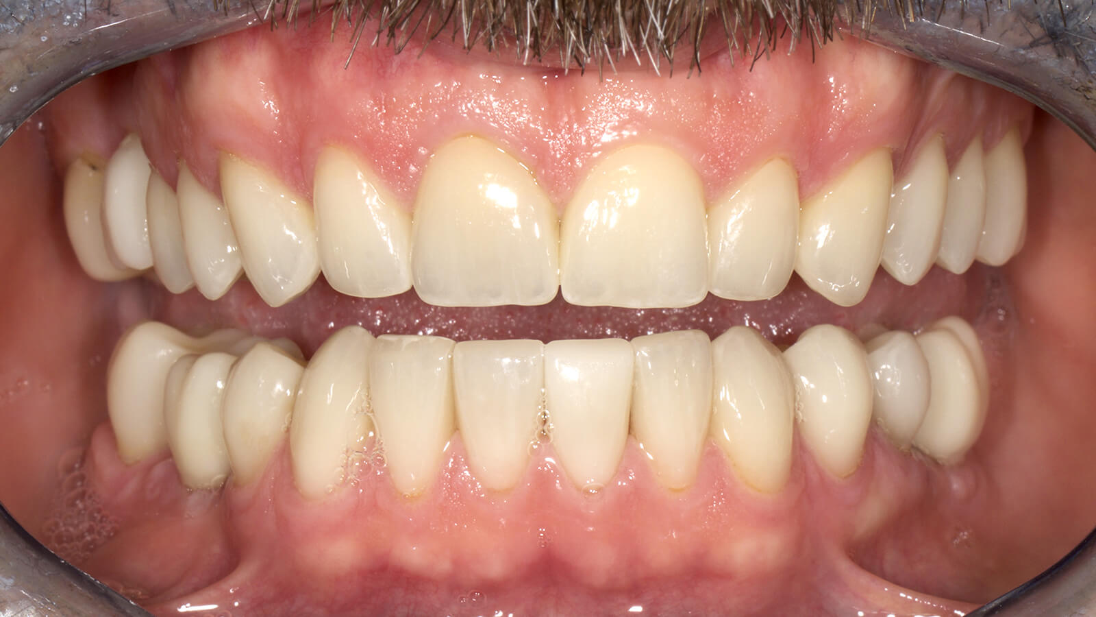
В итоге: все зубы покрыты максимально красивой стеклокерамикой, восстановлена высота прикуса и решен вопрос с отсутсвующими зубами.
Пациент остался доволен. Теперь его не беспоят зубы, он может свободно общаться, улыбаться, есть.
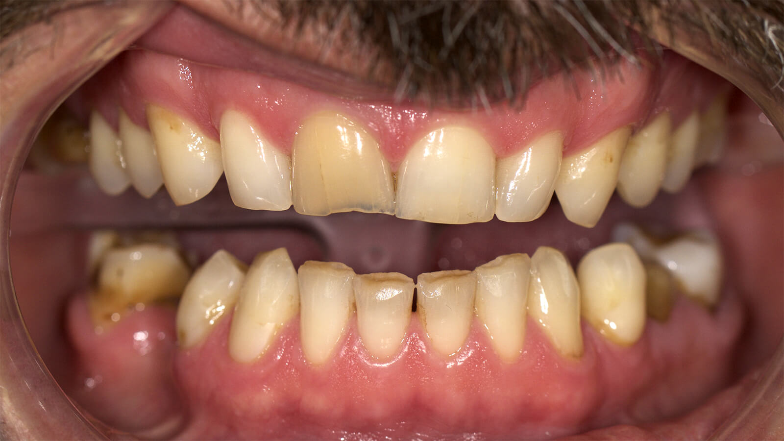
Фото до и после тотального протезирования коронками E-max

Фото 1. Состояние зубов до тотальной реставрации.

Фото 2. Зубы после работы стоматологов «Вашли».
Столкнулись с похожей проблемой? Свяжитесь с нами и мы Вам поможем.