Меню
Имплантация «готовый зуб»
2305 BYN
Пример работы по комплексной реабилитации зубов
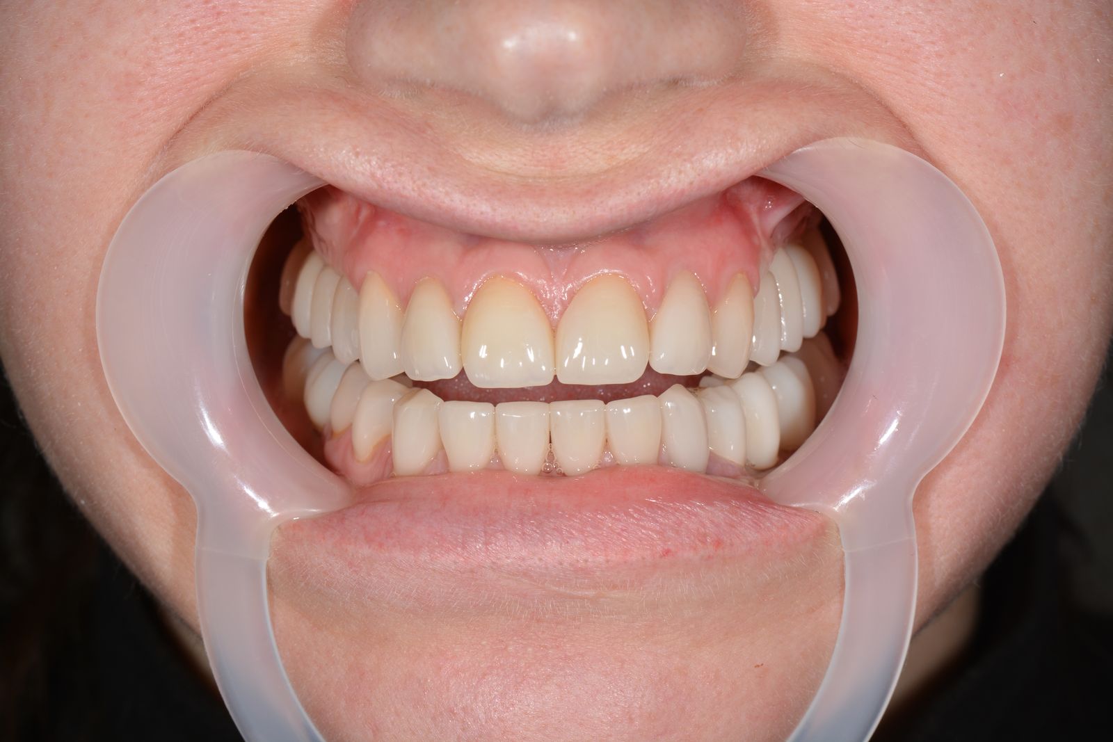
Делимся с Вами результатом нашей работы по переделке улыбки нашей пациентке.
Женщина обратилась в стоматологию «Вашли» с просьбой решить вопросы с эстетикой улыбки. Для этого нам пришлось удалять импланты, установленные в другой стоматологии, так как они стояли криво, что не позволяло даже благодаря индивидуальным керамическим абатментам установить коронку так, чтобы она не «выбивалась» из общего ряда. Импланты были удалены, а на их место под правильным углом были установлены новые импланты. Когда импланты прижились, на них были установлены коронки, а остальные зубы подверглись тотальной реабилитации посредством протезирования циркониевыми коронками.
Пациентка была в восторге от новой улыбки. Это и не удивительно, ведь результат – потрясающий. Смотрите сами!
P.S. На все про все нашим стоматологам понадобилось 5 месяцев. Не много, согласитесь.

Фото 1. Зубы пациентки до лечения.
Фото 1. Зубы пациентки после лечения.