Меню
Имплантация «готовый зуб»
2305 BYN
Ортодонтия
В стоматологии «ВАШЛИ» проводится ортодонтическое лечение как взрослым так и детям от 12 лет. Консультацию и лечение проводит опытный врач стоматолог-ортодонт 1-ой квалификационной категории Колесникова Марина Викторовна.
Цена первичной консультации 56 белорусских рублей.
До и после лечения ортодонтического лечения
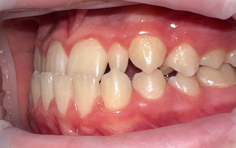
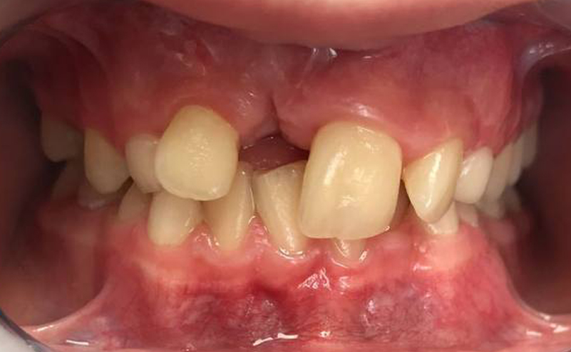
Случай 1: Тянули резец из под самого носа.
4 года назад по снимку ортодонт обнаружил несколько сверхкомплектных зубов, которые не давали правильно прорезаться резцу («вытиснули зачаток к самому носу»).
Фото того, что было



Фото того, что стало

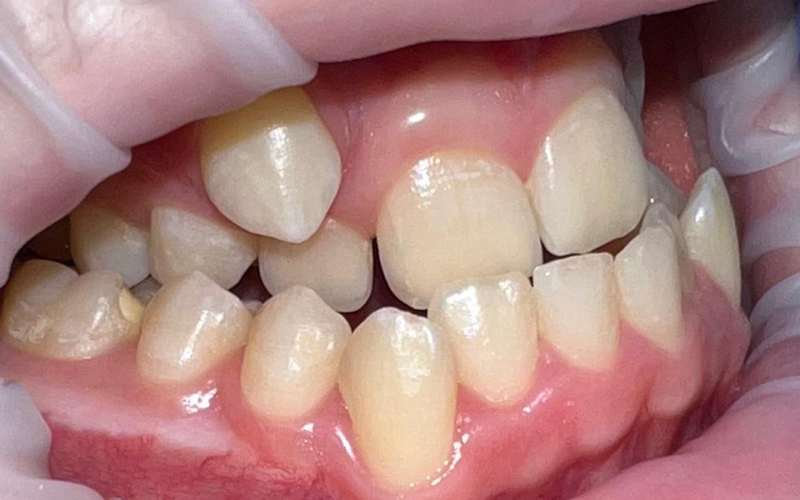
Случай 2: Пример лечения мезиального прикуса и скученности зубов у подростка
Работа на прикусом еще ведется. Педлагаем Вам ознакомиться с тем, что было и промежуточным результатом.




На фото ниже виден промежуточный результат.

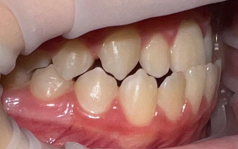
Случай 3: Еще один пример лечения мезиального прикуса.
Работа с данным пациентом еще ведется. Финальные фото можно будет найти у нас на сайте или в нашем Instagram.





Какие проблемы решает ортодонт
- кривизна и скученность зубов;
- межзубные щели;
- неправильный прикус (перекрестный, глубокий, открытый);
- асимметрия улыбки;
- нарушения в положении челюсти.
Зачастую пациенты обращаются к ортодонту перед имплантацией и протезированием.
Вот вам пример: у пациента в подростковом возрасте был удалён нижний левый шестой зуб. К 25 годам соседние зубы начали смещаться в сторону свободного пространства, в результате чего появились щели между зубами. Зуб-антагонист опустился вниз, нарушив прикус и положение зубов верхнего ряда. В такой ситуации перед имплантацией ортопед обязательно направит пациента к ортодонту для коррекции положения зубов и восстановления правильного прикуса.
Виды ортодонтических систем
| Тип | Эстетика | Стоимость | Срок лечения | Уход |
|---|---|---|---|---|
| Металлические брекеты | Видимы | + | 12–24 мес | Средний |
| Керамические брекеты | Менее заметны | ++ | 12–24 мес | Средний |
| Лингвальные брекеты | Невидимы | +++ | 12–30 мес | Сложный |
| Элайнеры (прозрачные каппы) | Практически невидимы | ++ | 6–18 мес | Легкий |
Как проходит ортодонтическое лечение
- Консультация — осмотр, снимки, диагностика.
- План лечения — обсуждение вариантов, расчёт стоимости.
- Установка системы — подбор и фиксация брекетов или капп.
- Контроль — регулярные визиты каждые 4–6 недель.
- Снятие и ретенция — закрепление результата (каппа или ретейнер).
Врач-ортодонт
Колесникова Марина Викторовна
- Врач-ортодонт с опытом более 12 лет
- Выпускница БГМУ
- Автор научного доклада «Сравнительная характеристика длительности работы с мультибондинг-системами различных конструкций»
- Участница научно-исследовательской рабты на кафедре БГМУ в 2010-2012 гг.
«Главное — не возраст, а желание изменить свою улыбку. Я помогу вам пройти путь с комфортом и результатом.»
Цены
| Самолигирующие металлические брекеты (2 челюсти) | от 6500 |
| Коррекция брекетов с заменой дуг (1 челюсть) | от 200 |
| Элайнеры (сет-ап) | от 750 |
| Лечение элайнерами (все лечение) | около 15000 |
| Установка ретейнера | от 550 |
Где мы находимся
- г. Минск, ул. Революционная, 4 (ст.м. Немига, Купаловская)
- Пн–Сб: 9:00–20:00
- +375 (29) 6-303-603 (Viber | Telegram | WhatsApp)
Часто задаваемые вопросы
Больно ли ставить брекеты?
Нет, установка проходит без боли. Возможен небольшой дискомфорт в первые дни.
Можно ли носить брекеты взрослым?
Да, ортодонтическое лечение эффективно в любом возрасте.
Сколько длится лечение?
От 6 до 30 месяцев, в зависимости от сложности.
Как ухаживать за системой?
Регулярная гигиена, ирригатор, профгигиена каждые 3 месяца.
Можно ли кушать всё?
Желательно избегать твёрдой, липкой еды. Элайнеры нужно снимать во время еды.
Готовы изменить свою улыбку?
Тогда звоните +375 (29) 6-303-603