Имплантация «готовый зуб» 2305 BYN

Вылечили прикус с помощью элайнеров

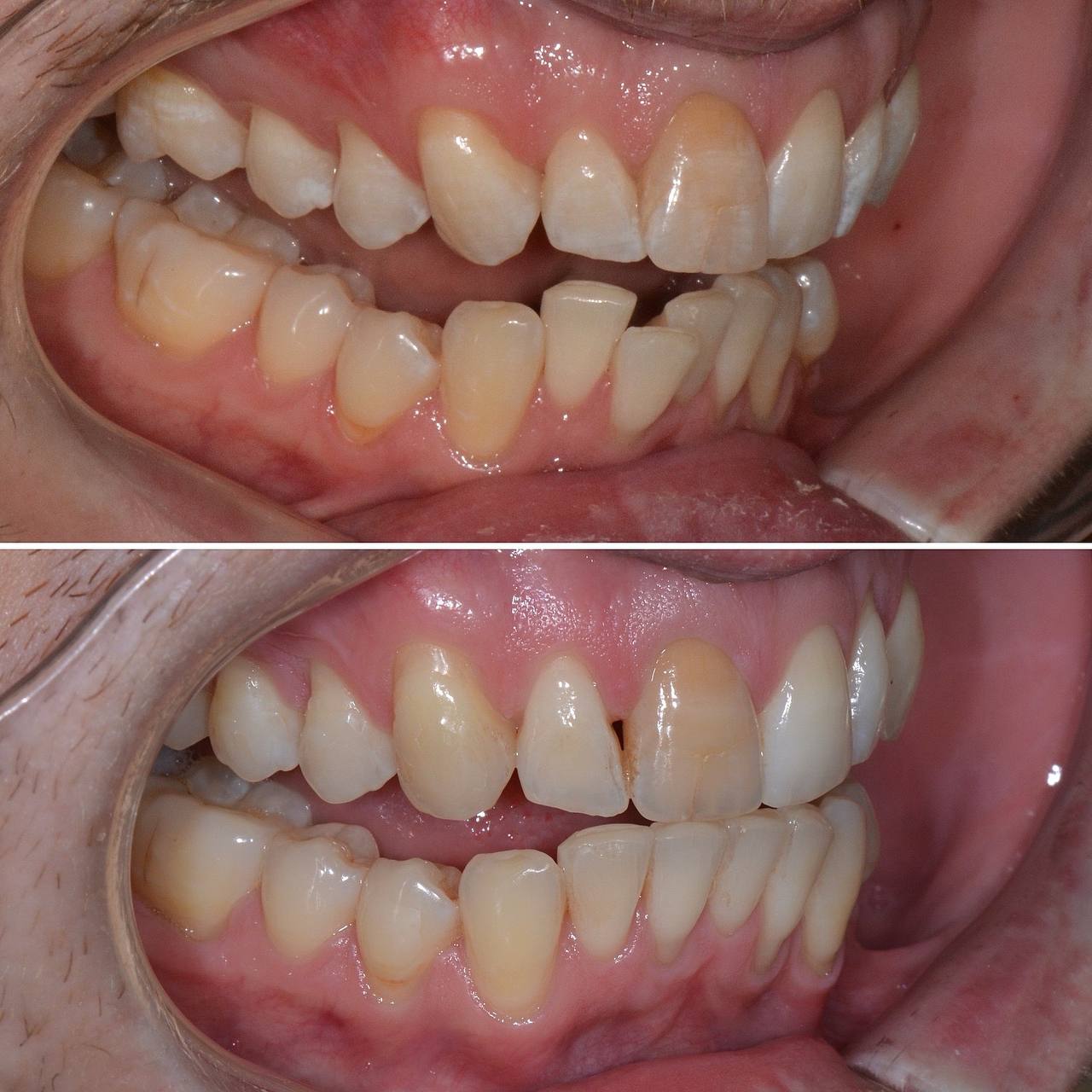
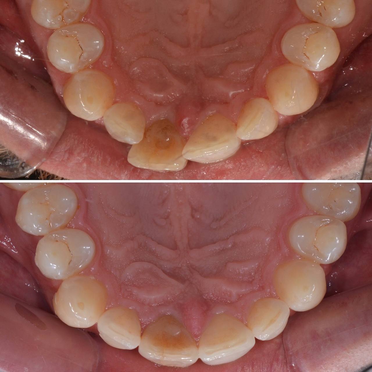
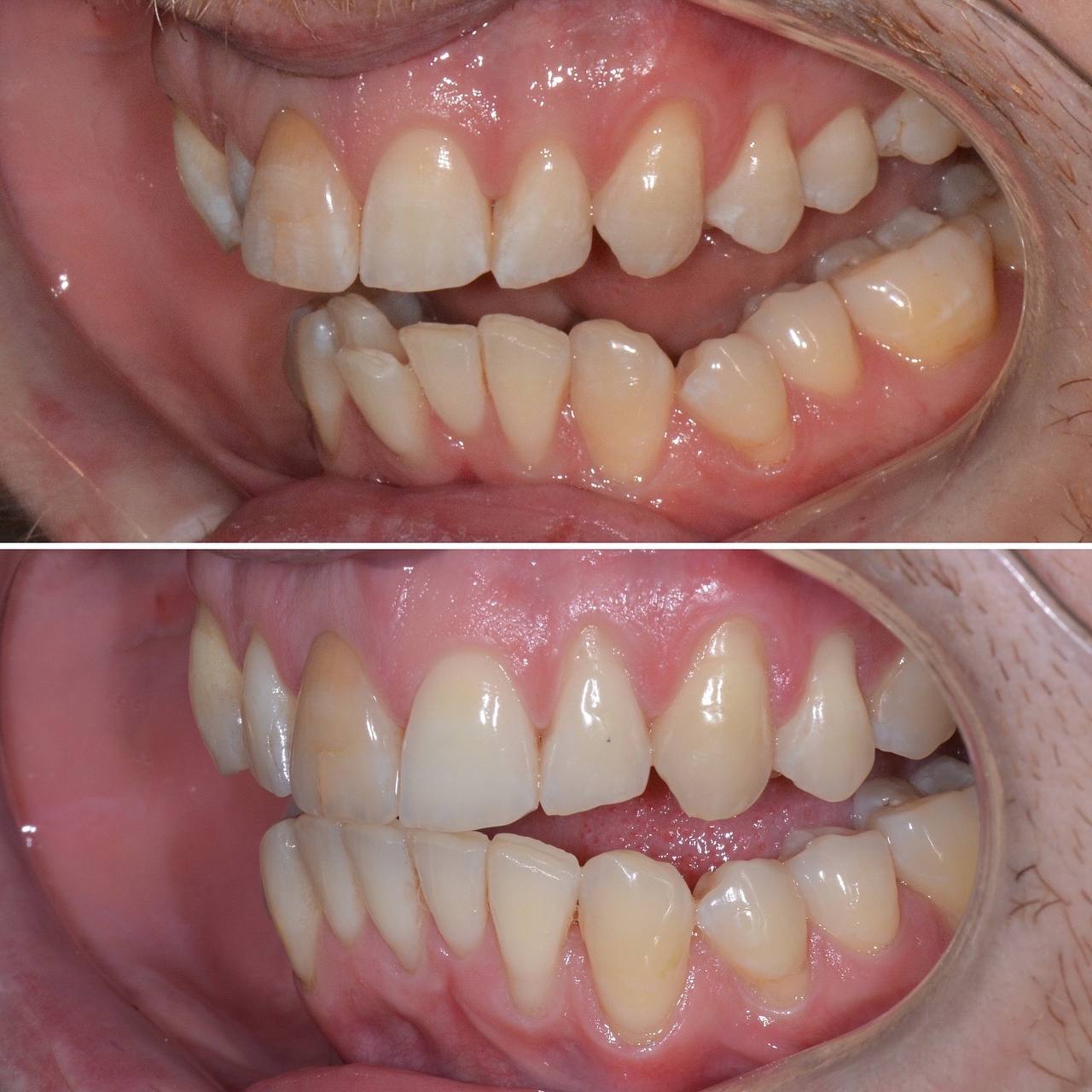
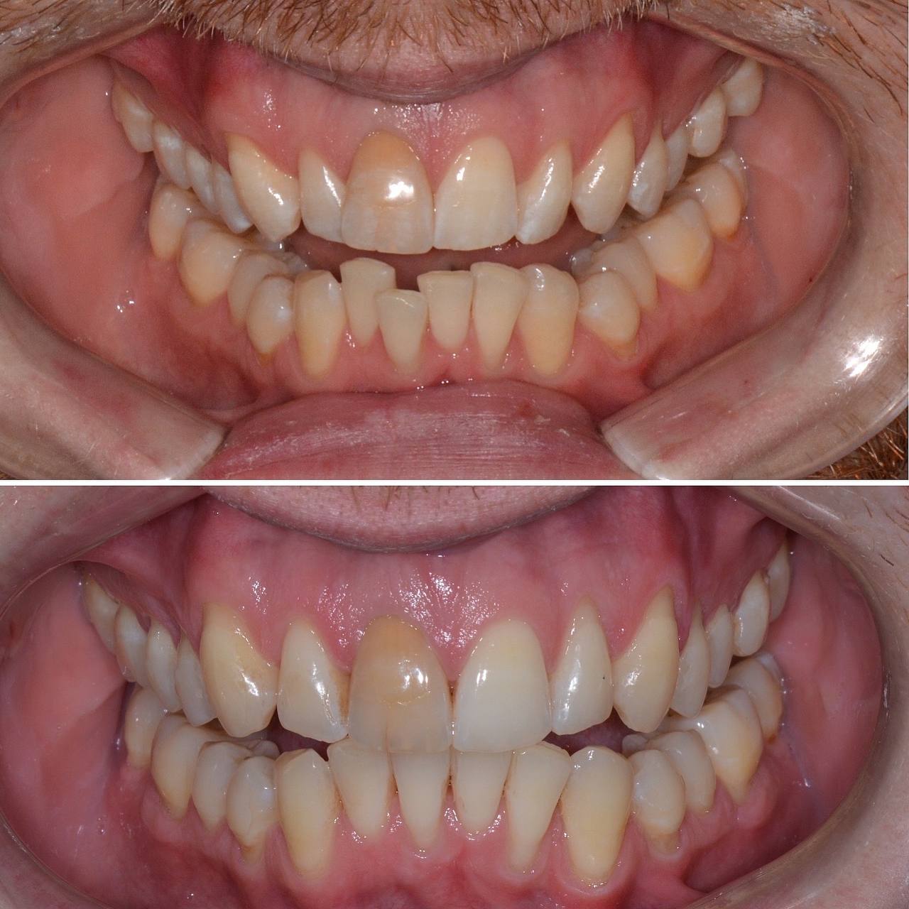
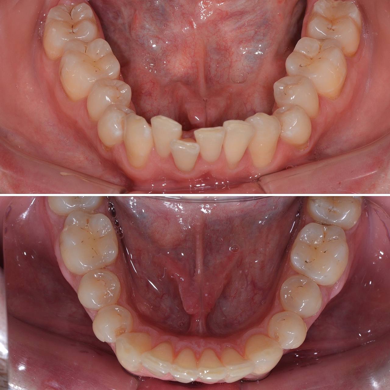
К нам с стоматологию обратился пациент с желанием сделать улыбку красивее. Лечением занимался стоматолог-ортодонт. Прикус и кривизну зубов исправляли при помощи элайнеров. Лечение заняло 12 месяцв. За это время было использовано 30 комплектов элайнеров.

Фото до и после лечения зубов элайнерами

Вверх