Меню
Имплантация «готовый зуб»
2305 BYN
Пример комплексной работы над улыбкой
В нашу стоматологию по рекомендациям знакомых обратилась пациентка с выраженными проблемами зубов. Основной запрос звучал просто: «Сделайте мне зубы». Мы комплексно подошли к задаче и полностью его реализовали.
Что было и что сделали
Клиническая ситуация была сложной: часть зубов требовала удаления, часть — восстановления с помощью коронок, а некоторые зубы отсутствовали вовсе – требовалась имплантация зубов.
На первом этапе мы удалили безнадежные зубы. Далее установили импланты MegaGen AnyOne с немедленной нагрузкой — сразу зафиксировали временные коронки, что позволило пациентке сохранить эстетику и комфорт уже в процессе лечения.
Спустя 3 месяца, после полного приживления имплантов, временные конструкции были заменены на постоянные циркониевые коронки. Собственные зубы, требовавшие восстановления, также были покрыты прочными и эстетичными циркониевыми коронками.
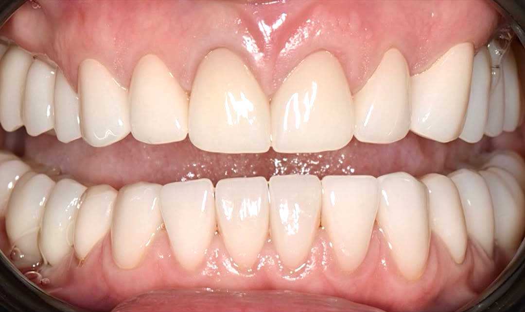
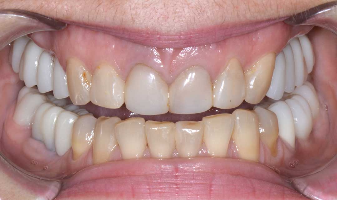
Фото до

Начальный этап лечения. На жевательных зубах видны временные коронки, которые в дальнейшем были заменены на постоянные циркониевые протезы.
Фото после
От удаления зубов до получения финального результата прошло всего 5 месяцев. Это небольшой срок по сравнению с тем качеством жизни, которое пациентка получила — уверенная улыбка, комфорт при жевании и новые яркие впечатления.


Важно: откладывание лечения зубов может привести к серьезным и необратимым последствиям — от потери зубов до сложного и более дорогостоящего восстановления. Чем раньше начать лечение, тем проще и эффективнее будет результат.