Имплантация «готовый зуб» 2305 BYN

Восстановили эстетику и функциональность верхней челюсти методом протезирования All-on-6

В стоматологию «Вашли» за помощью обратилась пациентка. Клиническая ситуация была достаточно сложная из-за наличия агрессивного пародонтита: передние зубы были подвижны, а вокруг них наблюдалось воспаление десны. Жевательные зубы отсутствовали, а костная ткань истончилась, и недостаточность ее объема не позволяла провести установку имплантатов. Удручающим было и то, что пациентка не могла жевать полноценно. Как известно, плохое пережевывание пищи негативным образом сказывается на работе желудочно-кишечного тракта. Отсуствие зубов создает ситуацию, при которой на лице быстрее проявляются морщины.

Для врачей нашей клиники сложные ситуации – это не повод отказываться от клиента. Даже в этом случае мы можем гарантировать отличный результат: у нас есть все необходимое для этого!

После скрупулезного изучения снимка, проведения внимательного осмотра стало ясно: подвижность зубов настолько высокая, что шансов на то, чтобы сохранить их, нету. Выход был лишь один: удалить их и установить импланты.

Далее началась работа: за один визит хирург безболезненно за счет анестезии удалил зубы на верхней челюсти, провел 2 синус-лифтинга (наращивание костной ткани в области жевательных зубов) и тут же установил 6 имплантатов.

Всего лишь через неделю были сняты швы. По слепкам мы изготовлили временный протез. Он нужен для того, чтобы на период приживления имплантатов красиво формировалась десна, а также для того, чтобы пациентка могла вести привычный образ жизни.

Через полгода ортопед заменил временный протез на постоянный балочный с коронками из прочнейшего высокоэстетичного материала – диоксид циркония.

Пациентка радуется новой улыбке, а мы счастливы от того, что можем эффективно работать с различными клиническими ситуациями и дарить людям возможность улыбаться, полноценно жевать еду, разговаривать без какого либо дискомфорта.

Цена протезирования зубов по протоколу All-on-6

Фото 1. Верхняя челюсть до протезирования.

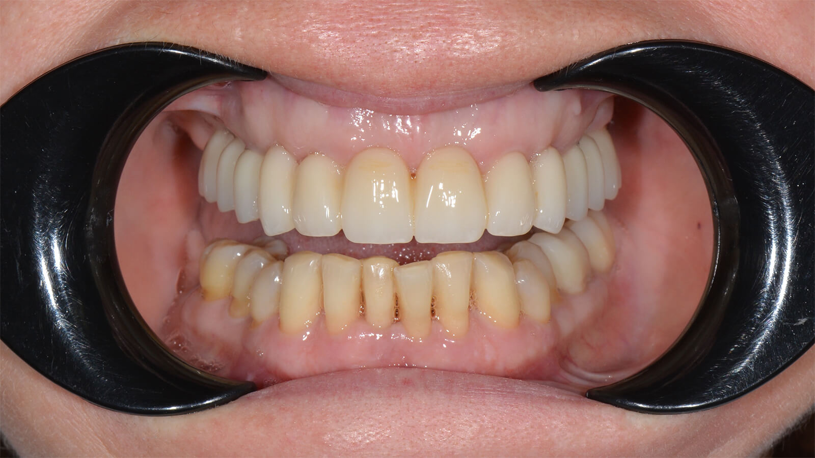
Фото 2. Верхняя челюсть после установки протеза на 6 иимплантах.

Вверх